Um grupo de cientistas chineses anunciou, em setembro, o desenvolvimento de uma cola óssea capaz de revolucionar os tratamentos ortopédicos. Batizada de Bone-02, a substância promete acelerar a cicatrização de fraturas em questão de minutos, substituindo gessos, placas metálicas e até cirurgias complexas.
A inovação foi apresentada pelo pesquisador Lin Xianfeng, de Hangzhou, que lidera a pesquisa. Segundo ele, a cola permite fixar fragmentos ósseos com precisão, mesmo em condições difíceis, como em regiões com alto fluxo sanguíneo.
Conforme os pesquisadores, o objetivo é oferecer um tratamento alternativo que seja menos invasivo e mais rápido do que os métodos tradicionais, que exigem longos períodos de imobilização e recuperação.
Como funciona o ‘superbonder para ossos’?
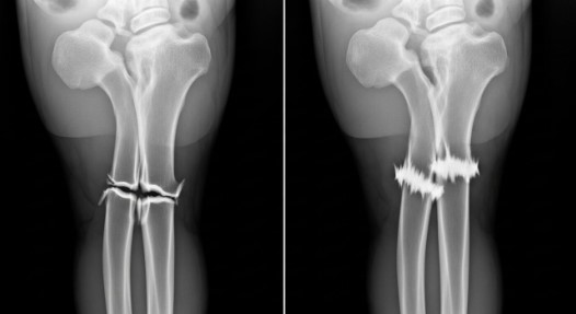
O tratamento com Bone-02 é feito por meio de uma única injeção, que une os fragmentos do osso em cerca de três minutos.
Em um dos casos relatados pela Academia Chinesa, portal de divulgação científica da China, um paciente com fratura no punho foi submetido ao procedimento por meio de uma incisão de apenas três centímetros e apresentou cura total sem complicações.
Em comparação, uma cirurgia convencional exigiria a colocação de uma placa metálica, além de uma segunda operação meses depois para remover o material.
O produto foi testado em mais de 150 pacientes em hospitais da China e obteve resultados positivos em todos os casos. Um deles envolveu um trabalhador com uma fratura grave no antebraço, que normalmente demandaria uma operação extensa.
Com a cola, os fragmentos ósseos foram fixados em minutos, e após três meses o paciente já havia recuperado totalmente os movimentos do punho.
Como surgiu o ‘superbonder para ossos’?
A criação da Bone-02 nasceu de uma observação biológica. Lin contou que a inspiração veio durante uma visita à sua cidade natal, Wenzhou, localizada no litoral chinês.
Ao observar as ostras grudadas firmemente nas bases de pontes e rochas, mesmo após anos de exposição às ondas, o médico teve a ideia de imitar o mecanismo de adesão natural desses moluscos.
“Será que poderíamos reproduzir esse mesmo tipo de fixação no ambiente úmido do corpo humano?”, questionou o pesquisador.
A partir dessa reflexão, a equipe desenvolveu um composto capaz de aderir ao osso mesmo em presença de sangue, criando uma liga biocompatível e resistente, inspirada na biônica das ostras.
Absorção natural e menor risco de infecção
Diferente dos implantes metálicos, o Bone-02 é biodegradável. Ele é absorvido naturalmente pelo organismo à medida que o osso se regenera, o que elimina a necessidade de uma segunda cirurgia.
Além disso, estudos iniciais apontam uma redução significativa no risco de infecções, já que o material evita o acúmulo de bactérias em superfícies artificiais.
Para Lin, o potencial de aplicação é vasto. “A cola é adequada para quase todos os tipos de fraturas, inclusive as menores, que os dispositivos convencionais não conseguem tratar. Pode ser usada em ossos grandes, pequenos, e até em situações de emergência, como desastres ou operações militares”, afirmou à Academia Chinesa.
Com a nova tecnologia, o tratamento de fraturas pode se tornar mais rápido, menos doloroso e mais acessível, reduzindo custos hospitalares e o tempo de internação. A expectativa é que, após a aprovação regulatória e novos testes clínicos, o produto seja disponibilizado internacionalmente nos próximos anos.
ND+
